logo

DIGITAL X-RAY



X-RAY

X-ray is the oldest and most frequently used form of medical imaging. Routine X-rays involve exposing a body part to a small dose of radiation to produce an image of an internal organ.
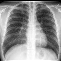
The plain postero-anterior (PA) chest film is the most frequently requested radiological examination. Visualisation of the lungs is excellent because of the incoherent contrast of the the tissues of the thorax.
X-rays are routinely used for diagnosis of various bone fractures and bone diseases.
They play an important role in diagnosis of types of fractures and their further management.

Contrast Studies on X-ray

  • Intravenous Pyelography (IVP)
  • Hysterosalpingography (HSG)
  • Barium studies for oesophagus, stomach, small bowel and large bowel.